Keep Your Smile On Track

For Current Patients of Humphrey Orthodontics

Let’s keep your treatment moving in the right direction. Help us keep an eye on your smile by checking in with Dr. Humphrey virtually.

How It Works

STEP 1

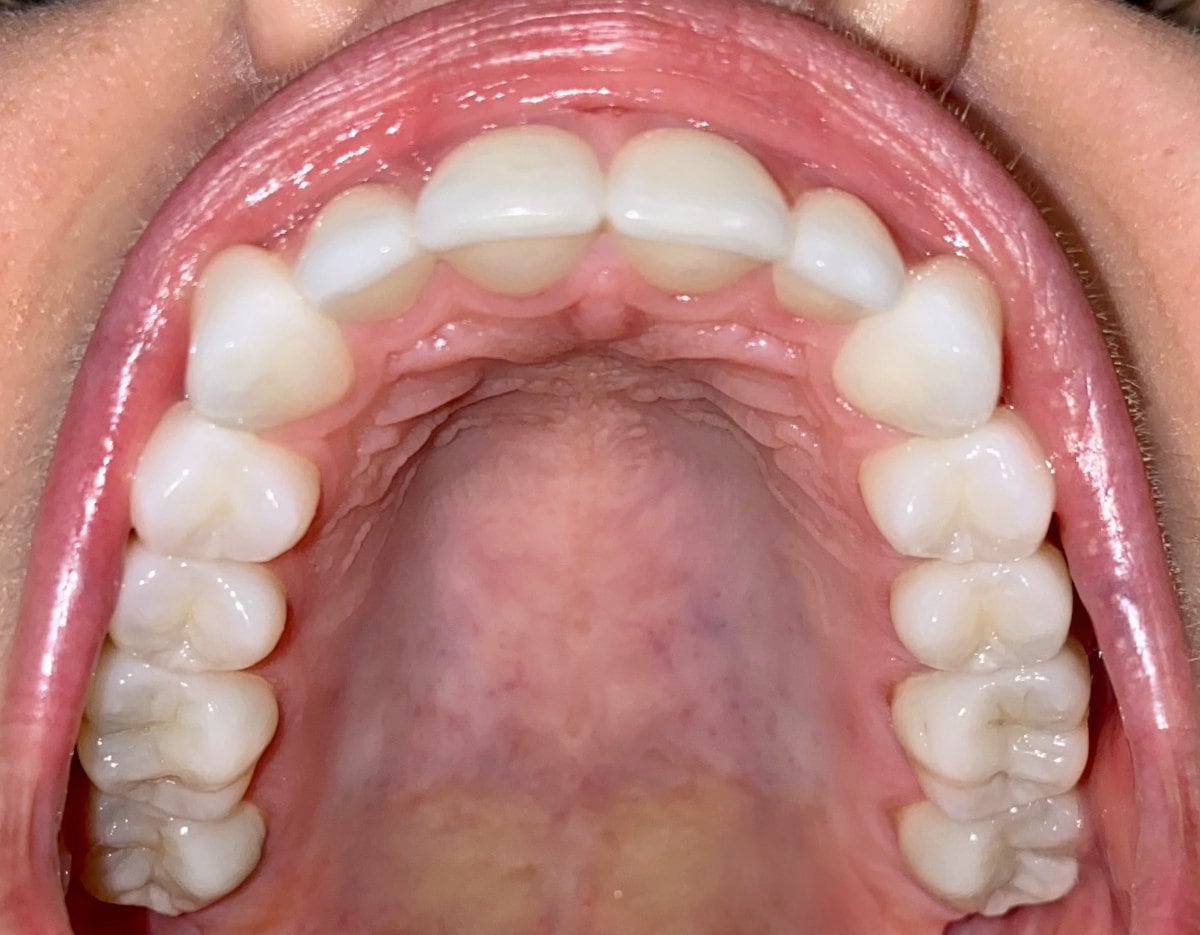
Take 8 pictures of your smile from the angles below.

front smile with no teeth
front smile with teeth
side profile photo
left side smile using spoons
front smile using spoons
right side smile using spoons
roof of mouth
bottom of mouth

Need help taking photos?

STEP 2

Fill out form below and upload your pictures.

  • This field is for validation purposes and should be left unchanged.
  • Drop files here or
    Max. file size: 5 MB, Max. files: 8.

    STEP 3

    You’re finished! Dr. Humphrey will assess your photos and will get back to you soon with your treatment plan options.

    IMPORTANT NOTICE

    When we send you an email, or you send us an email, the information sent is not encrypted. That means a third party may be able to access the information and read it since it is transmitted over the Internet. If you receive an email, someone may be able to access your email account and read it.

    • HIPAA stands for the Health Insurance Portability and Accountability Act
    • HIPAA was passed by the U.S. government in 1996 in order to establish privacy and security protections for health information
    • Information stored on our computers is encrypted.
    • Most popular email services (ex. Hotmail®, Gmail®, Yahoo®) do not utilize encrypted email.
    • Email is a very popular and convenient way to communicate for a lot of people, so in their latest modification to the HIPAA act, the federal government provided guidance on email and HIPAA.
    • The guidelines state that if a patient has been made aware of the risks of unencrypted email, and that same patient provides consent to receive health information via email, then a health entity may send that patient personal medical information via unencrypted email.
    • For more information visit https://www.gpo.gov/fdsys/pkg/FR-2013-01-25/pdf/2013-01073.pdf.

    By sending a request for virtual consultation with email you are accepting the terms and conditions of utilizing non-encrypted email to communicate health information.